基本治療費 通常料金495,000円→330,000円
負担の少ない価格でお子さんの健康をサポート
- ☑「歯並びが悪くなる原因」そのものを改善
- ☑パパ・ママドクターが治療を担当
- ☑お子さま自身の理解と納得も大切に
子どもの成長をサポートする小児矯正も小野歯科医院にご相談ください。
お子さまの歯並びについて、
不安や気になる点は
ありませんか?
- 前歯がガタガタに生えてきた
- 乳歯に隙間がなく、大人の歯がきちんと並ぶか心配
- 将来のために矯正は考えているけど、なるべく痛くない方法がいい

小児矯正は、5〜9歳頃の「成長期」だからこそ効果的な治療です。
特に、歯並びが悪くなる根本原因にアプローチできる「マイオブレース」は、矯正の中でも注目を集めている予防的なプログラムです。
インビザライン・ファーストに関する情報はこちら
マイオブレース
「マイオブレース」とは
歯並びの原因から改善する新しい小児矯正
マイオブレースは、ワイヤーやブラケットを使わずに、「歯並びが悪くなる原因」そのものを改善していく、小児期専用の矯正治療プログラムです。
主に以下のようなお子さまにおすすめです。
- 前歯が生え変わり始めていて、歯が重なっている・ズレている
- 乳歯にすき間がなく、永久歯が生えるスペースが足りない
- なるべく痛みや見た目の負担なく、自然に矯正したい
- 健康的な顔立ち・顎の成長をサポートしたい
なぜ歯並びは悪くなる?
歯並びの乱れの多くは、呼吸・舌の使い方・飲みこみ方などのクセによって引き起こされます。
以下のような習慣が見られる場合、注意が必要です。
- 口が開いている、または口呼吸が多い
- よだれが多い
- 口元が乾燥しやすい
- くちゃくちゃと音を立てて食べる
- 飲み込む時にアゴの周りに力が入る
- 横向きやうつ伏せ寝が多い
- 姿勢が悪く猫背気味
- いびきや口臭がある
これらのクセは、遺伝以上に顎の発達・歯並びに強く影響することが近年の研究で明らかになっています。
顎と顔の成長は早い時期に
ピークを迎えます
- 上顎の成長ピークは約5歳
- 9歳までに成長の大部分が終了
そのため、前歯が生え変わり始める「5〜6歳」からの対策が効果的。
8歳までに矯正を開始することで、抜歯やワイヤー矯正を避けられる可能性が高まります。
マイオブレース治療の目的と効果
マイオブレースでは、以下のような改善が期待できます。
- 歯を抜かず、ワイヤーも使わずに矯正できる
- 顎の成長を促してスペースを確保
- 口呼吸・舌癖・飲みこみ方などの習慣を改善
- より良い顔立ちとバランスの取れた発育
- 後戻りの少ない、安定した歯並び
- 成長や健康への良い影響も期待できる
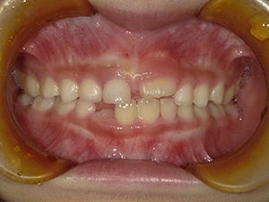
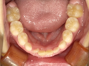
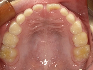
治療実況中!
実際に小野歯科医院で行っているマイオブレースを用いた小児矯正の症例を紹介します。
どんどんきれいな歯並びになっていく様子を一緒に確認していきましょう!
治療前
| 術名 | マイオブレース矯正 |
|---|---|
| 年齢 | 6歳 |
| 性別 | 男性 |
| 主訴 | 下の前歯のガタつきが気になる |
| 診断名 | 叢生 |
| 治療内容 | マイオブレース矯正 |
| 治療期間 | 治療開始2ヶ月時点での変化 |
| 費用 | 基本料33万(検査診断料.月々の調整料別途) |
| リスク・副作用 | 特になし |
2か月後


5か月後


6か月後
経過観察中…


治療の流れとトレーニング内容
マイオブレースは、以下の流れで進めていきます。
無料相談

お子様にもわかりやすく説明します。
検査・診断

レントゲン撮影・口腔機能のチェックなどを行います。
治療計画のご説明

資料付きで丁寧にご説明します。
治療スタート

・マウスピース装着(1日1時間+就寝中)
・呼吸・舌・姿勢トレーニング(1日2回2分)
・月1回の来院でチェックと指導
治療期間・対象年齢
- 対象年齢
- 5〜9歳(前歯の生え変わり〜永久歯への成長期)
- 最適な開始年齢
- 5〜8歳
- 治療期間
- 約2年間(状態による)
マイオブレースと
一般小児矯正との違いは?
| マイオブレース | 一般小児矯正 | |
|---|---|---|
| 装置の種類 | 取り外し式マウスピース | 固定式ワイヤー装置 |
| 痛みや負担 | 少ない | ワイヤー調整時に痛みあり |
| 抜歯の可能性 | 原則なし | 必要に応じてあり |
| 見た目の自然さ | 目立ちにくい※ | 装置が見える |
| 成長への効果 | 顎の成長・健康もサポート | 歯の移動が中心 |
※マイオブレースは家の外で使用しないため見た目を気にする心配が少ないです。
小児矯正はお子さま自身の
理解と納得も大切に
小野歯科医院では、お子さまにもわかりやすく説明を行い、本人の納得を得ながら矯正を進めることを大切にしています。
もちろん、保護者の方の不安や疑問にも丁寧にお答えします。
治療費
- 検査・診断料
- 33,000円(税込)
- 基本治療費
- 495,000円→330,000円(税込)
- 管理・調整料
- 3,300円(税込)
※クレジット払いやデンタルローンにも対応しております。
※装置の破損・紛失には別途費用が発生することがあります。
小児矯正をご検討中の方へ|
まずは相談から
「今、矯正を始めたほうがいい?」「マイオブレースとインビザライン、どちらが合う?」など、まずはお気軽ご相談ください。
小野歯科医院では、小児矯正に力を入れており、子どもの歯科治療に経験豊富なスタッフが対応いたします。
お子さまの成長とともに、より良い未来をサポートいたします。